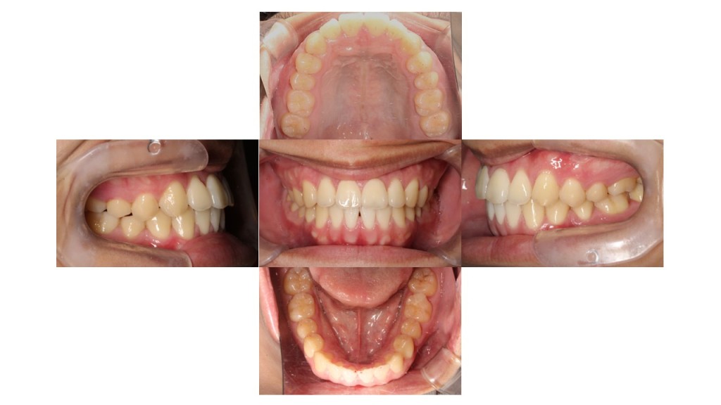
当院の症例





| 年齢層 | 20代 |
|---|---|
| 性別 | 男性 |
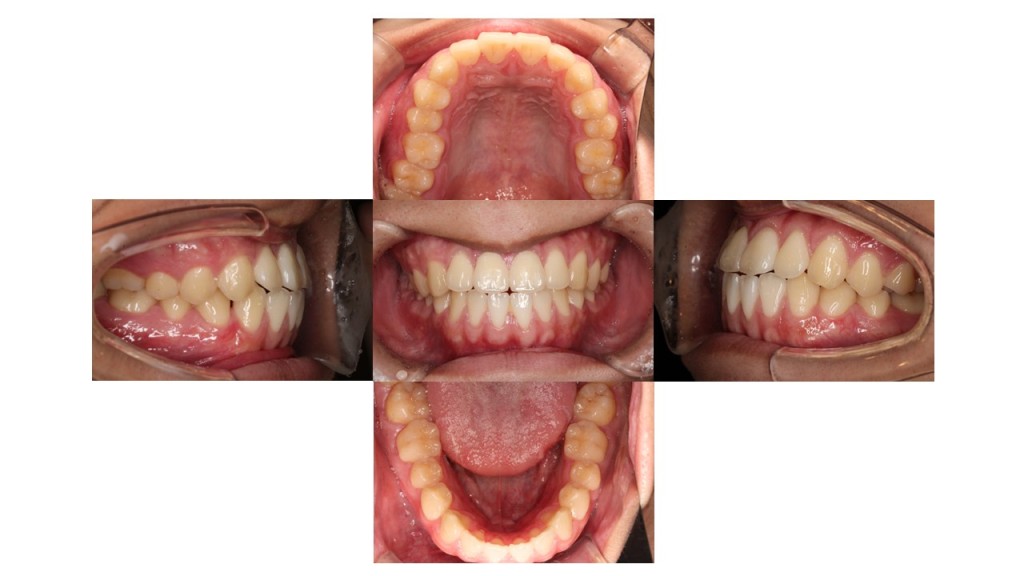
| 主訴 | 【主訴】咬み合わせが浅い 【診断・症状】切端咬合 |
| 治療費用 | 検査・診断:38,500-/ハーフリンガル矯正治療:1,287,000-(※全て税込) |
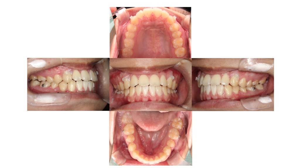
| 治療期間 | 約1年10カ月(25回) |
| 抜歯 | 無 |
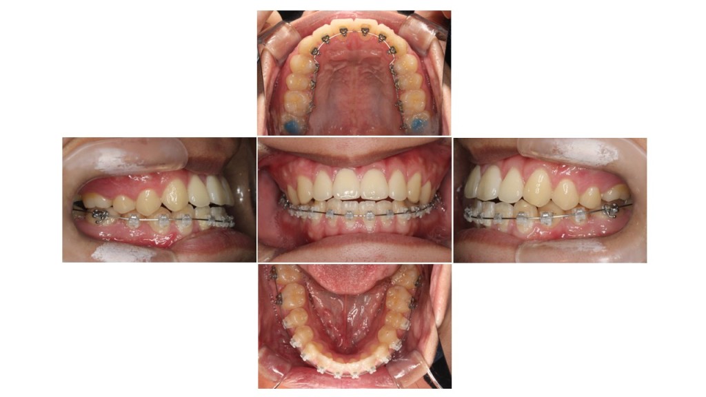
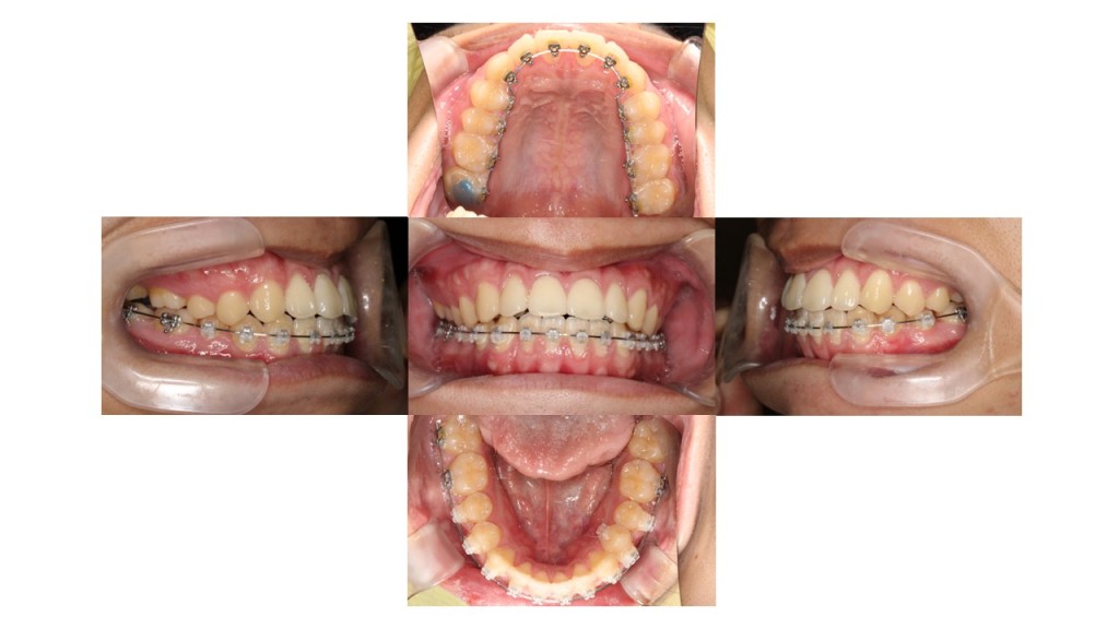
| 矯正の装置 | ハーフリンガル矯正(上顎裏側矯正・下顎表側矯正) |
| 副作用、リスク | 歯肉退縮,歯根吸収,疼痛,咬合の違和感,装置の違和感,虫歯,歯肉炎 |