料金
症例
menu
close
アクセス
当院について
仙台キュア矯正歯科のご案内
院内デジタル矯正設備
グループ内転院制度
治療内容
治療について
治療の流れ
カウンセリング
裏側矯正
マウスピース型矯正
部分矯正
ハーフリンガル矯正
表側矯正
コンビネーション矯正
歯科矯正用アンカースクリューを用いた矯正
結婚式に向けた矯正
矯正基礎知識
矯正法・費用・期間・医院選び
一般的なリスクや副作用について
料金表
料金一覧
お得な定額費用制度
デンタルローン
医療費控除
症例紹介
矯正ガイド
当院の総院長・院長
よくある質問
矯正のご相談・未成年・学生の方
カウンセリングの流れ
instagram
TIKTOK
YouTube
ブログ
矯正コラム
当院の症例
TOP
当院の症例
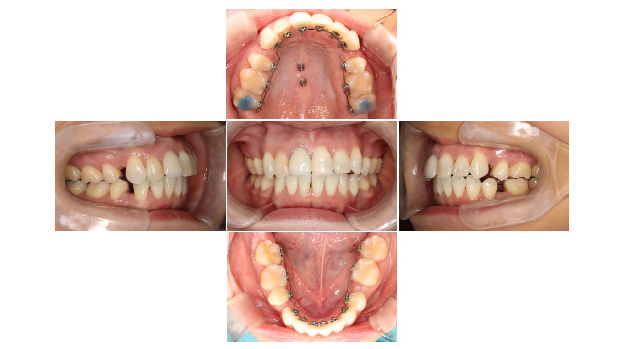
凸凹を治したい(治療期間:約1年6カ月/通院:18回)
Before
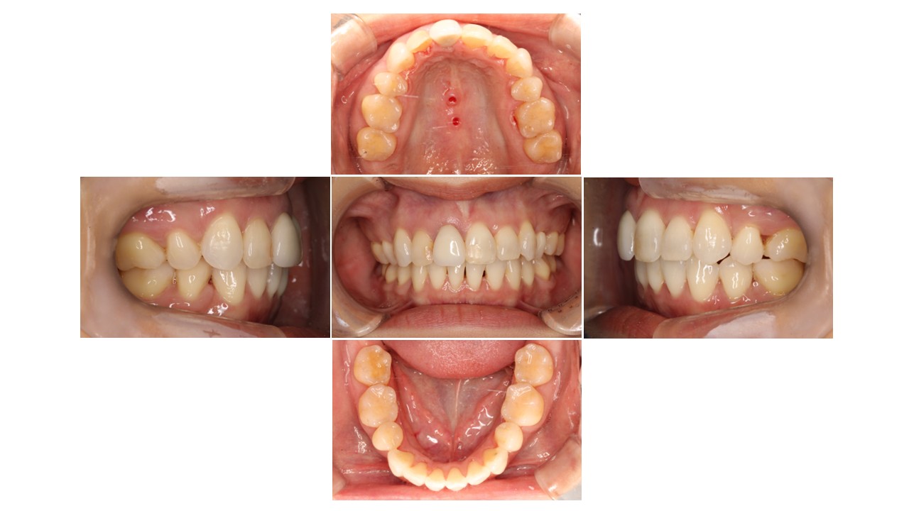
After
初診
半年後
1年後
矯正治療終了
年齢層
30代
性別
女性
主訴
【主訴】歯の凸凹を治したい 【診断・症状】上下凸凹
治療費用
検査・診断:38,500-/裏側矯正治療:1,397,000-(※全て税込)
治療期間
約1年6カ月(18回)
抜歯
有(上4,4下4,5)
矯正の装置
裏側矯正(舌側矯正)
副作用、リスク
歯肉退縮,歯根吸収,疼痛,咬合の違和感,装置の違和感,虫歯,歯肉炎
WEB予約
治療ガイド