menu
close

当院の症例

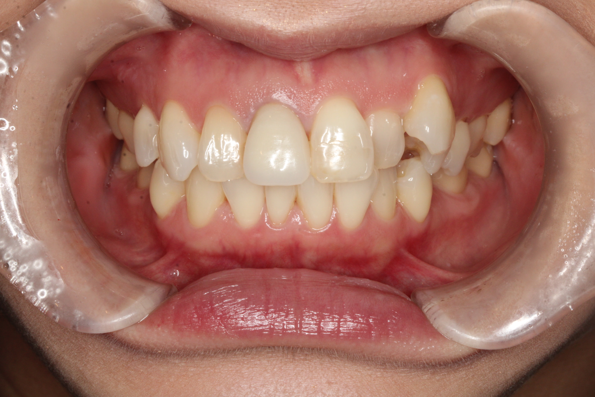
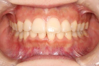
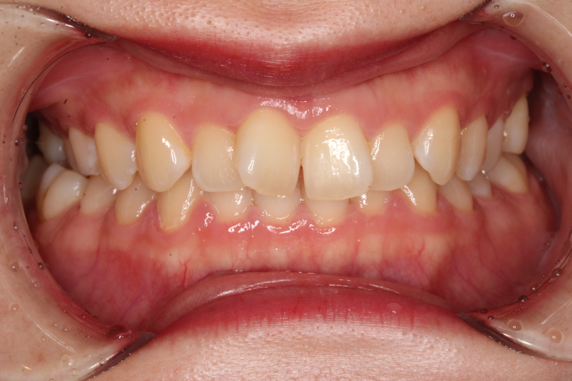
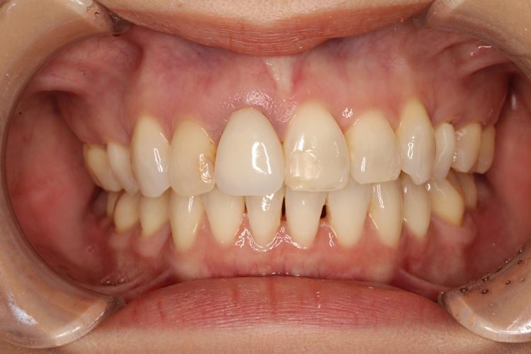
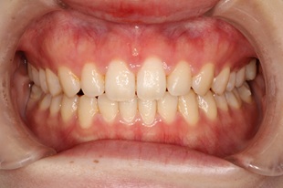
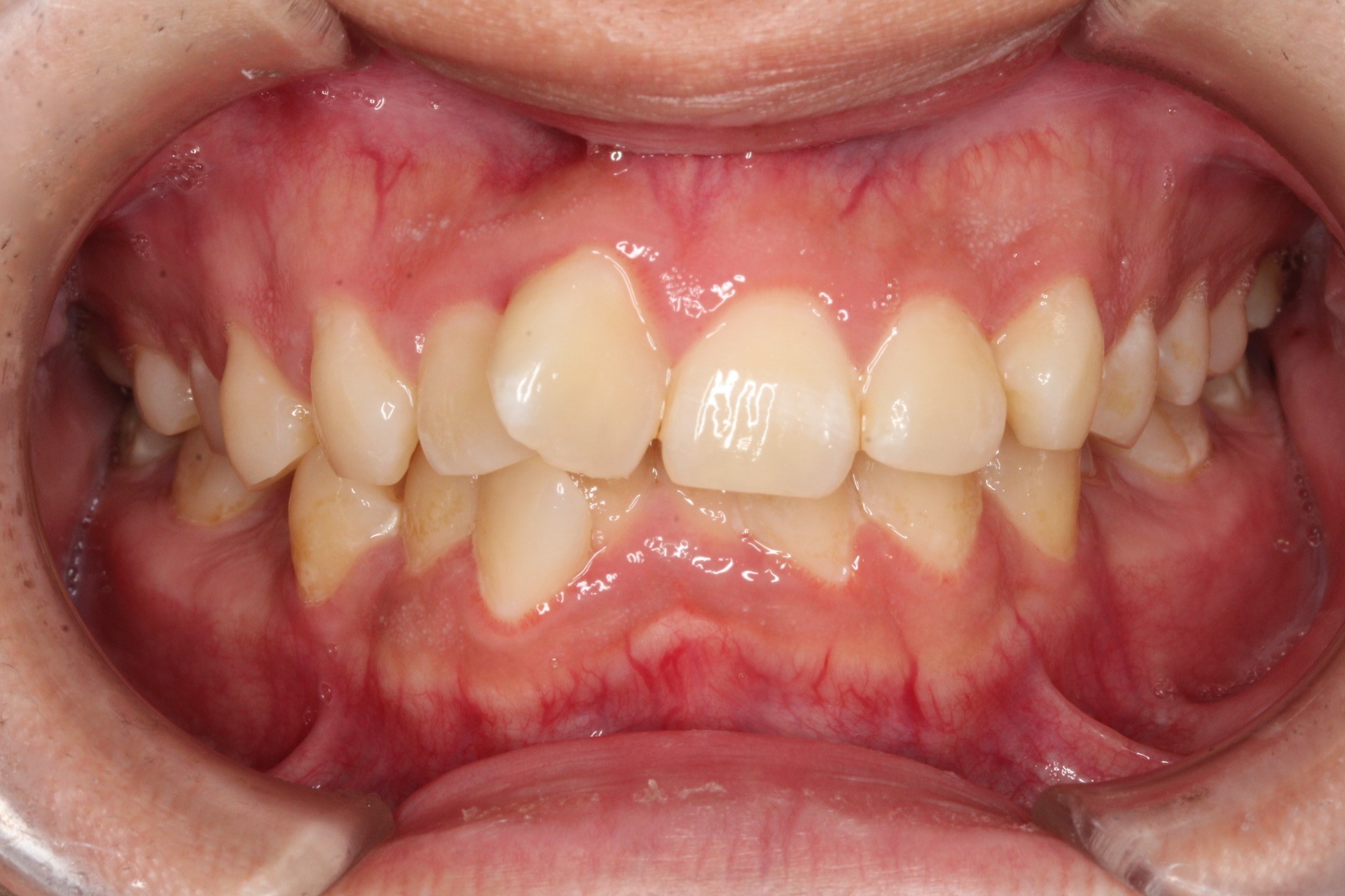
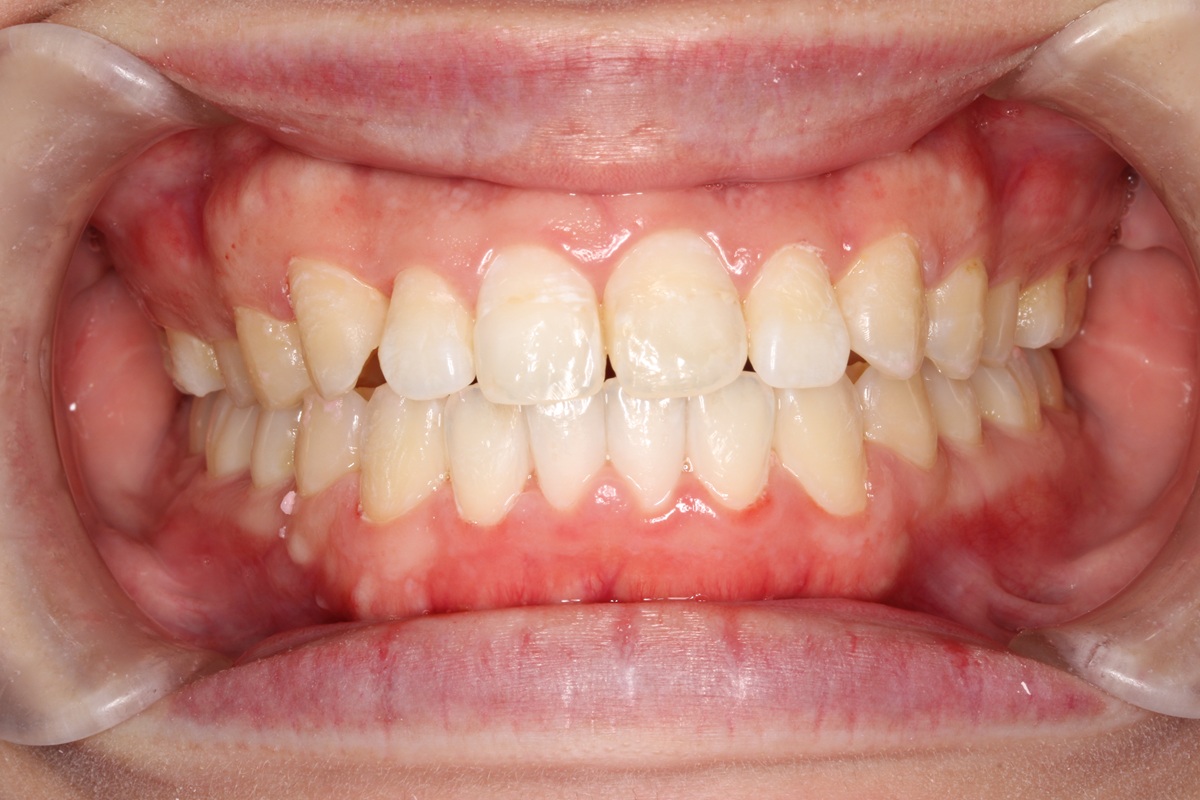
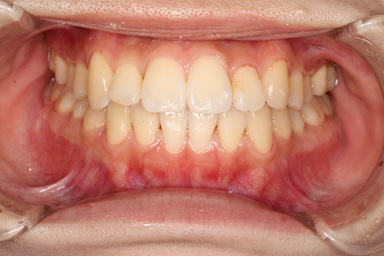
すきっ歯を治したい

Before

After

年齢層 20代
性別 女性
主訴 すきっ歯を治したい
治療費用 検査・診断:税込38,500円/部分矯正 (裏側矯正):税込497,200円
治療期間 約4か月(4回)
抜歯 無(非抜歯)
矯正の装置 裏側矯正(舌側矯正)
副作用、リスク 歯肉退縮,歯根吸収,疼痛,咬合の違和感,装置の違和感,虫歯,歯肉炎
詳しく見る

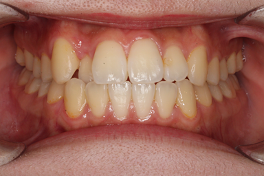
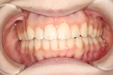
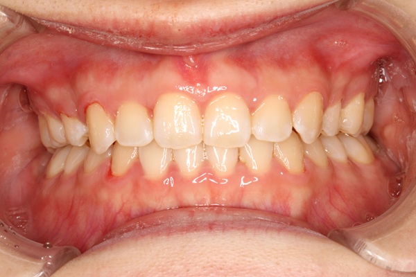
すきっ歯を治したい

すきっ歯 マウスピース矯正

Before

すきっ歯 マウスピース矯正

After

年齢層 30代
性別 男性
主訴 すきっ歯を治したい
治療費用 検査・診断:税込38,500円/マウスピース矯正(インビザライン):税込1,210,000円
治療期間 約6か月(4回)
抜歯 無(非抜歯)
矯正の装置 マウスピース矯正(インビザライン)
副作用、リスク 歯肉退縮,歯根吸収,疼痛,咬合の違和感,装置の違和感,虫歯,歯肉炎
詳しく見る

歯の凸凹を治したい

Before

After

年齢層 20代
性別 女性
主訴 全体的な叢生
治療費用 検査・診断:38,500-/ハーフリンガル矯正治療:1,287,000-(※全て税込)
治療期間 約2年3カ月(27回)
抜歯 有(上4,4、左下5,5)
矯正の装置 ハーフリンガル矯正(上顎裏側矯正・下顎表側矯正)
副作用、リスク 歯肉退縮,歯根吸収,疼痛,咬合の違和感,装置の違和感,虫歯,歯肉炎
詳しく見る

切端咬合を治したい

Before

After

年齢層 20代
性別 男性
主訴 【主訴】咬み合わせが浅い 【診断・症状】切端咬合
治療費用 検査・診断:38,500-/ハーフリンガル矯正治療:1,287,000-(※全て税込)
治療期間 約1年10カ月(25回)
抜歯
矯正の装置 ハーフリンガル矯正(上顎裏側矯正・下顎表側矯正)
副作用、リスク 歯肉退縮,歯根吸収,疼痛,咬合の違和感,装置の違和感,虫歯,歯肉炎
詳しく見る

凸凹を治したい

Before

After

年齢層 20代
性別 女性
主訴 全体的な叢生
治療費用 検査・診断:38,500-/1,260,000-(税込み)
治療期間 約1年8カ月(20回)
抜歯 有(上4,4下5,5)
矯正の装置 裏側矯正(舌側矯正)
副作用、リスク 歯肉退縮,歯根吸収,疼痛,咬合の違和感,装置の違和感,虫歯,歯肉炎
詳しく見る

非対称を治したい(外科症例)

case24_非対称_外科_before

Before

case24_非対称_外科_after

After

年齢層 20代
性別 女性
主訴 【主訴】歯の非対称を治したい 【診断・症状】右下2番先天欠損、上下凸凹、顎が曲がっている
治療費用 検査・診断:税込55,000円/サージェリーファースト(裏側矯正):税込2,090,000円(+外科費用 約200万)(※外科代につきましては別途かかります)
治療期間 約2年半(33回)
抜歯 無(非抜歯)
矯正の装置 裏側矯正(舌側矯正)
副作用、リスク 歯肉退縮,歯根吸収,疼痛,咬合の違和感,装置の違和感,虫歯,歯肉炎
詳しく見る

歯の凸凹を治したい

case23_歯の凹凸_before

Before

case23_歯の凹凸_after

After

年齢層 30代
性別 男性
主訴 【主訴】歯の凸凹を治したい 【診断・症状】上下凸凹
治療費用 検査・診断:38,500-/裏側矯正治療:1,397,000-(※全て税込)
治療期間 約3年半(45回)
抜歯 有(上4,4、左下4)
矯正の装置 裏側矯正(舌側矯正)
副作用、リスク 歯肉退縮,歯根吸収,疼痛,咬合の違和感,装置の違和感,虫歯,歯肉炎
詳しく見る

かみ合わせが深い受け口の症例

case22_かみ合わせが深い_受け口_before

Before

case22_かみ合わせが深い_受け口_after

After

年齢層 30代
性別 男性
主訴 【主訴】かみ合わせが深い、受け口 【診断・症状】受け口、過蓋咬合、上下凸凹
治療費用 検査・診断:38,500-/裏側矯正治療:1,397,000-/難症例加算:220,000-(※全て税込)
治療期間 約3年半(45回)
抜歯 無(非抜歯)
矯正の装置 裏側矯正(舌側矯正)
副作用、リスク 歯肉退縮,歯根吸収,疼痛,咬合の違和感,装置の違和感,虫歯,歯肉炎
詳しく見る

出っ歯を治したい

case21_出っ歯_before

Before

case21_出っ歯_after

After

年齢層 30代
性別 女性
主訴 【主訴】出っ歯を治したい 【診断・症状】上下凸凹、口元が出てる
治療費用 検査・診断:38,500-/裏側矯正治療:1,397,000-(※全て税込)
治療期間 約2年9か月(36回)
抜歯 有(上4,4)
矯正の装置 裏側矯正(舌側矯正)
副作用、リスク 歯肉退縮,歯根吸収,疼痛,咬合の違和感,装置の違和感,虫歯,歯肉炎
詳しく見る

出っ歯を治したい

case20_出っ歯_before

Before

case20_出っ歯_after

After

年齢層 30代
性別 女性
主訴 【主訴】出っ歯を治したい 【診断・症状】上下凸凹、出っ歯(上顎前突)
治療費用 検査・診断:38,500-/裏側矯正治療:1,397,000-(※全て税込)
治療期間 約2年半(33回)
抜歯 有(上4,4、下5,5)
矯正の装置 裏側矯正(舌側矯正)
副作用、リスク 歯肉退縮,歯根吸収,疼痛,咬合の違和感,装置の違和感,虫歯,歯肉炎
詳しく見る

受け口(非外科)の症例

case19_受け口_非外科_before

Before

case19_受け口_非外科_after

After

年齢層 20代
性別 女性
主訴 【主訴】受け口を治したい 【診断・症状】反対咬合、上下凸凹
治療費用 検査・診断:38,500-/裏側矯正治療:1,397,000-(※全て税込)
治療期間 約1年半(約20回)
抜歯 有(下4,4)
矯正の装置 裏側矯正(舌側矯正)
副作用、リスク 歯肉退縮,歯根吸収,疼痛,咬合の違和感,装置の違和感,虫歯,歯肉炎
詳しく見る

受け口の外科症例

case18_受け口外科_before

Before

case18_受け口外科_after

After

年齢層 30代
性別 女性
主訴 【主訴】受け口を治したい 【診断・症状】上下凸凹、受け口
治療費用 検査・診断:税込55,000円/サージェリーファースト(裏側矯正):税込2,090,000円(+外科費用 約200万)(※外科代につきましては別途かかります)
治療期間 約2年(約26回)
抜歯 無(非抜歯)
矯正の装置 裏側矯正(舌側矯正)
副作用、リスク 歯肉退縮,歯根吸収,疼痛,咬合の違和感,装置の違和感,虫歯,歯肉炎
詳しく見る

受け口を治したい

case17_受け口_before

Before

case17_受け口_after

After

年齢層 20代
性別 女性
主訴 【主訴】受け口を治したい 【診断・症状】反対咬合、上下凸凹
治療費用 検査・診断:38,500-/ハーフリンガル矯正治療:1,287,000-(※全て税込)
治療期間 約1年半(20回)
抜歯 無(非抜歯)
矯正の装置 ハーフリンガル矯正
副作用、リスク 歯肉退縮,歯根吸収,疼痛,咬合の違和感,装置の違和感,虫歯,歯肉炎
詳しく見る

軽度の受け口の症例(インプラント併用の症例)

case16_インプラント併用_before

Before

case16_インプラント併用_after

After

年齢層 30代
性別 女性
主訴 【主訴】軽度の受け口を治したい 【診断・症状】軽度の反対咬合、左上6番重度の虫歯
治療費用 検査・診断:38,500-/裏側矯正治療:1,397,000-(※全て税込)
治療期間 約3年(39回)
抜歯 有(左上6番のみ)
矯正の装置 裏側矯正(舌側矯正)
副作用、リスク 歯肉退縮,歯根吸収,疼痛,咬合の違和感,装置の違和感,虫歯,歯肉炎
詳しく見る

出っ歯を治したい

case15_出っ歯_before

Before

case15_出っ歯_after

After

年齢層 20代
性別 男性
主訴 【主訴】出っ歯を治したい 【診断・症状】上下凸凹、出っ歯(上顎前突)
治療費用 検査・診断:38,500-/裏側矯正治療:1,397,000-(※全て税込)
治療期間 約1年半(20回)
抜歯 有(上4,4のみ)
矯正の装置 裏側矯正(舌側矯正)
副作用、リスク 歯肉退縮,歯根吸収,疼痛,咬合の違和感,装置の違和感,虫歯,歯肉炎
詳しく見る

出っ歯を治したい

case14_出っ歯_before

Before

case14_出っ歯_after

After

年齢層 20代
性別 女性
主訴 【主訴】出っ歯を治したい 【診断・症状】上下凸凹、開咬、口元が出てる
治療費用 検査・診断:38,500-/裏側矯正治療:1,397,000-(※全て税込)
治療期間 約2年(26回)
抜歯 有(上4,4)
矯正の装置 裏側矯正(舌側矯正)
副作用、リスク 歯肉退縮,歯根吸収,疼痛,咬合の違和感,装置の違和感,虫歯,歯肉炎
詳しく見る

軽度の出っ歯を治したい

case13_軽度の出っ歯_before

Before

case13_軽度の出っ歯_after

After

年齢層 20代
性別 女性
主訴 【主訴】出っ歯を治したい 【診断・症状】上下凸凹、出っ歯(上顎前突)
治療費用 検査・診断:38,500-/裏側矯正治療:1,397,000-(※全て税込)
治療期間 約2年半(33回)
抜歯 有(上4,4)
矯正の装置 裏側矯正(舌側矯正)
副作用、リスク 歯肉退縮,歯根吸収,疼痛,咬合の違和感,装置の違和感,虫歯,歯肉炎
詳しく見る

軽度の反対咬合を治したい

case12_軽度の反対咬合_before

Before

case12_軽度の反対咬合_after

After

年齢層 30代
性別 女性
主訴 【主訴】軽度の反対咬合を治したい 【診断・症状】上下凸凹 、前歯の反対咬合
治療費用 検査・診断:38,500-/裏側矯正治療:1,397,000-(※全て税込)
治療期間 約1年10か月(24回)
抜歯 無(非抜歯)
矯正の装置 裏側矯正(舌側矯正)
副作用、リスク 歯肉退縮,歯根吸収,疼痛,咬合の違和感,装置の違和感,虫歯,歯肉炎
詳しく見る

開咬を治したい

case11_開咬_before

Before

case11_開咬_after

After

年齢層 30代
性別 女性
主訴 【主訴】開咬を治したい 【診断・症状】上下凸凹、開咬(オープンバイト)
治療費用 検査・診断:38,500-/裏側矯正治療:1,397,000-(※全て税込)
治療期間 約3年(39回)
抜歯 有(左上4,右上5、下5,5)
矯正の装置 裏側矯正(舌側矯正)
副作用、リスク 歯肉退縮,歯根吸収,疼痛,咬合の違和感,装置の違和感,虫歯,歯肉炎
詳しく見る

ガミースマイルを治したい

case10_ガミー_before

Before

case10_ガミー_after

After

年齢層 20代
性別 女性
主訴 【主訴】ガミースマイルを治したい 【診断・症状】上下凸凹、ガミースマイル
治療費用 検査・診断:38,500-/裏側矯正治療:1,397,000-(※全て税込)
治療期間 約3年半(45回)
抜歯 無(非抜歯)
矯正の装置 裏側矯正(舌側矯正)
副作用、リスク 歯肉退縮,歯根吸収,疼痛,咬合の違和感,装置の違和感,虫歯,歯肉炎
詳しく見る