menu
close

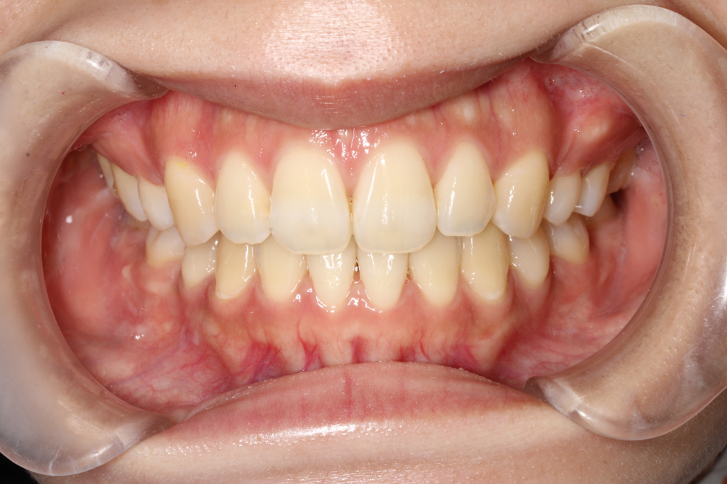
ハーフリンガル矯正

歯の凸凹を治したい(治療期間:約2年3カ月/通院:27回)

年齢層 20代
性別 女性
主訴 全体的な叢生
治療費用 検査・診断:38,500-/ハーフリンガル矯正治療:1,287,000-(※全て税込)
治療期間 約2年3カ月(27回)
抜歯 有(上4,4、下5,5)
矯正の装置 ハーフリンガル矯正(上顎裏側矯正・下顎表側矯正)
副作用、リスク 歯肉退縮,歯根吸収,疼痛,咬合の違和感,装置の違和感,虫歯,歯肉炎

Before

After

詳しく見る

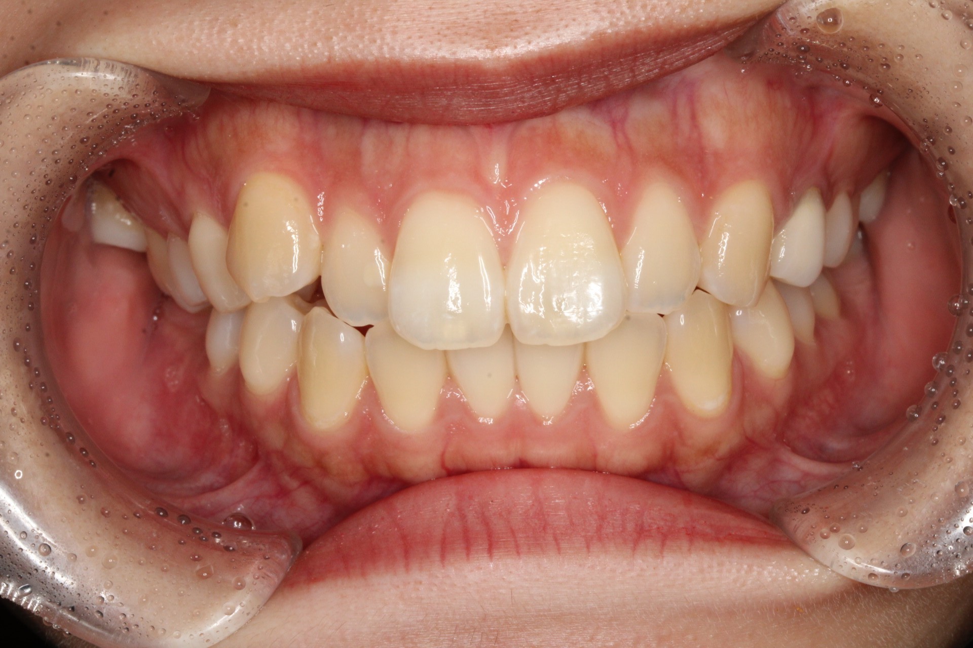
凸凹を治したい(治療期間:約1年8カ月/通院:20回)

年齢層 20代
性別 女性
主訴 全体的な叢生
治療費用 検査・診断:38,500-/1,260,000-(税込み)
治療期間 約1年8カ月(20回)
抜歯 有(上4,4下5,5)
矯正の装置 裏側矯正(舌側矯正)
副作用、リスク 歯肉退縮,歯根吸収,疼痛,咬合の違和感,装置の違和感,虫歯,歯肉炎

Before

After

詳しく見る

受け口を治したい

年齢層 20代
性別 女性
主訴 【主訴】受け口を治したい 【診断・症状】反対咬合、上下凸凹
治療費用 検査・診断:38,500-/ハーフリンガル矯正治療:1,287,000-(※全て税込)
治療期間 約1年半(20回)
抜歯 無(非抜歯)
矯正の装置 ハーフリンガル矯正
副作用、リスク 歯肉退縮,歯根吸収,疼痛,咬合の違和感,装置の違和感,虫歯,歯肉炎
case17_受け口_before

Before

case17_受け口_after

After

詳しく見る